Maternica, komplexný orgán ženského reprodukčného systému, je v neustálom cykle zmien, pripravená prijať a vyživiť nový život. Jej steny, tvorené tromi hlavnými vrstvami - endometrium, myometrium a perimetrium - reagujú na hormonálne signály, ktoré riadia menštruačný cyklus. Avšak, v rámci tejto dynamickej štruktúry sa môžu vyvinúť útvary, ktoré narušujú jej normálnu funkciu. Jedným z najčastejších takýchto útvarov je leiomyóm, známy aj ako myóm maternice. Tento nezhubný nádor, vyrastajúci z buniek hladkého svalstva maternice, predstavuje významnú klinickú výzvu pre mnohé ženy.

Čo je leiomyóm a ako vzniká?
Leiomyóm maternice je nezhubný nádor tvorený z buniek hladkého svalstva, ktoré tvoria stenu maternice, známu ako myometrium. Tieto nádory sa typicky vyskytujú v oblasti tela maternice alebo jej fundu, zatiaľ čo v oblasti krčka maternice sú pomerne vzácne, tvoriac menej ako 8% všetkých prípadov. Výnimočne sa môžu leiomyómy objaviť aj v blízkosti maternice, bez priamej súvislosti s ňou - vtedy ich označujeme ako tzv. parazitické myómy.
Patogenéza vzniku myómu maternice je komplexná a naďalej predmetom výskumu. Predpokladá sa, že kľúčovú úlohu zohráva kombinácia genetickej predispozície, hormonálnych vplyv. Rast myómov je silne ovplyvnený pohlavnými hormónmi, najmä estrogénom a progesterónom. Preto sa leiomyómy vyskytujú najčastejšie u žien v reprodukčnom veku, zvyčajne medzi 40. a 60. rokom života. Existuje aj určitá predispozícia u žien čiernej pleti a u žien, ktoré ešte nerodili. Naopak, pred pubertou sa tieto nádory zvyčajne neobjavujú a po menopauze, s poklesom hladiny pohlavných hormónov, často dochádza k ich spontánnemu zmenšovaniu až miznutiu.
Ukazuje sa, že prvotnou udalosťou je neoplastická transformácia (prestavba) pôvodne normálnych myocytov (svalových buniek maternice). Nasleduje stimulácia rastu týmito pohlavnými hormónmi, pričom rastové faktory slúžia ako ich mediátory a efektory.
Klasifikácia a charakteristiky leiomyómov
Leiomyómy sa klasifikujú predovšetkým podľa ich umiestnenia v stene maternice:
- Subserózny leiomyóm: Vyrastá na vonkajšom povrchu maternice a môže sa vyvíjať smerom von do brušnej dutiny. Tieto myómy sú často pripojené k maternici stopkou a môžu byť aj bezpríznakové.
- Intramurálny leiomyóm: Nachádza sa priamo v svalovej vrstve maternice (myometriu). Tvoria najväčšiu skupinu leiomyómov.
- Submukózny leiomyóm: Vyrastá pod slizničnou výstelkou maternice (endometriom) a vybieha do dutiny maternice. Tieto typy sú najčastejšie spojené s abnormálnym menštruačným krvácaním.
Dve tretiny postihnutých žien majú viac ako jeden nádor, čo znamená, že leiomyómy sa často vyskytujú vo forme viacerých uzlov. Väčšina myómov má guľovitý tvar a je dobre ohraničená. Pri raste utláčajú okolité svalstvo maternice, čím sa okolo nich vytvára tzv. falošné puzdro. Toto puzdro uľahčuje ich pomerne ľahké chirurgické odstránenie.
Histologicky sú myómy tvorené spletenými bunkami hladkého svalu usporiadanými do špirálovitých štruktúr, s kolagénovými fibrilami tvoriacimi ich nosnú štruktúru. Počet buniek je vyšší ako v okolitom myometriu, avšak bez atypií jadier, ktoré sú typické pre zhubné nádory. Existujú aj rôzne histologické subtypy, napríklad lipoleiomyóm, ktorý obsahuje tukové bunky.

Klinické prejavy a symptómy
Hoci mnohé leiomyómy, najmä tie menšie, sú bezpríznakové a objavia sa náhodne pri vyšetrení, väčšie alebo strategicky umiestnené nádory môžu spôsobovať rôzne symptómy. Medzi najčastejšie patrí:
Abnormálne menštruačné krvácanie: Toto môže zahŕňať:
- Hypermenorea: Nadmerné menštruačné krvácanie.
- Menorágia: Predĺžené menštruačné krvácanie.
- Dysmenorea: Bolestivé menštruačné krvácanie.
- Nepravidelné krvácanie je menej bežné a vyskytuje sa častejšie u žien so submukóznym typom myómu.Toto nadmerné krvácanie môže viesť k rozvoju anémie z nedostatku železa, ktorá sa prejavuje únavou, slabosťou a bledosťou.
Príznaky z tlaku na okolie: V závislosti od veľkosti a umiestnenia myómu môže dôjsť k útlaku okolitých orgánov v panve, čo sa prejavuje:
- Častým močením (tlak na močový mechúr).
- Zápchou alebo problémami s vyprázdňovaním (tlak na konečník).
- Panvovou bolesťou, ktorá môže byť chronická alebo sa zhoršovať počas menštruácie.
- Dyspareúniou - bolestivým pohlavným stykom.
Leiomyómy sú tiež jednou z príčin ženskej neplodnosti a problémov s donosením plodu počas tehotenstva.
Degeneratívne zmeny v leiomyómoch
Väčšie leiomyómy často podliehajú degeneratívnym zmenám, pretože ich cievne zásobenie sa stáva nedostatočným vzhľadom na ich rast. Najčastejšie sa vyskytujú tieto typy degenerácie:
- Hyalínová degenerácia: Najčastejší typ (60% myómov), prejavuje sa stratou bunkovej štruktúry a nahradením spojivovým tkanivom.
- Hemoragická degenerácia: Krvácanie do tkaniva myómu, často v dôsledku prasknutia ciev.
- Myxoidná degenerácia: Zmäknutie tkaniva s nahradením slizovitou substanciou.
- Cystická degenerácia: Vznik dutín vyplnených tekutinou.
- Vzácne: Kalcifikácia, tuková degenerácia, infikovanie alebo nekróza (odumretie tkaniva).
Tieto degeneratívne zmeny môžu byť spojené so zvýšenou bolesťou a inými symptómami.
Diagnostické metódy
Na diagnostiku leiomyómov sa využíva niekoľko zobrazovacích metód:
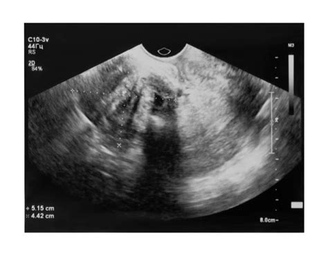
- Ultrasonografia (USG): Základná a najčastejšie používaná zobrazovacia metóda. Najmä transvaginálna USG poskytuje detailný obraz maternice a jej útvarov. USG zobrazí myóm ako guľatý, ostro ohraničený hypoechogénny útvar. V myóme môžu byť viditeľné cystické (anechogénne) alebo degeneratívne zmenené (mixechogénne) časti. USG zvyčajne spoľahlivo určí počet, veľkosť a lokalizáciu myómov.

Magnetická rezonancia (MRI): Je považovaná za najpresnejšiu zobrazovaciu metódu pre posúdenie leiomyómov. MRI poskytuje detailné informácie o počte, veľkosti, vnútornej štruktúre a vzťahu myómov k jednotlivým vrstvám steny maternice (endometrium, junkčná zóna, myometrium, seróza), ako aj k jej dutine a okolitým orgánom (vaječníky, močový mechúr, konečník). Najvhodnejší čas na vyšetrenie je druhá polovica menštruačného cyklu. V MR obraze má leiomyóm najčastejšie charakter guľovitej, ostro ohraničenej masy, ktorá je hypointenzná v T2 vážení a chová sa expanzívne. Degeneratívne zmeny a rôzne histologické subtypy môžu meniť typický MR obraz.
Počítačová tomografia (CT): Na diagnostiku zmien maternice sa CT príliš nehodí, pretože nedokáže dobre odlíšiť jednotlivé vrstvy steny maternice a má horší tkanivový kontrast ako MRI. CT obraz leiomyómu nie je špecifický. Najšpecifickejšie sú kalcifikáty, ktoré sa však vyskytujú len asi v 10% prípadov. CT môže zobraziť zväčšenú a hrboľatú maternicu.
Magnetická rezonance (MR)
Liečebné možnosti
Liečba leiomyómov sa zvažuje najmä vtedy, ak spôsobujú klinické symptómy. Možnosti liečby sú rôznorodé a závisia od závažnosti príznakov, veľkosti a umiestnenia myómov, ako aj od plánov ženy do budúcnosti (napríklad tehotenstvo).
Farmakologická liečba:
- Selektívni modulátori progesterónových receptorov (SPRM): Jediná schválená liečba na dlhodobý manažment myómov maternice je pomocou SPRM, pričom ulipristal acetát je jediný schválený liek na tento účel. Používa sa na zastavenie nadmerného menštruačného krvácania, spomalenie rastu a zmenšenie veľkosti myómov. Nejde o klasickú hormonálnu liečbu.
- Hormonálna antikoncepcia: Používala sa s cieľom ovplyvniť rast leiomyómov, avšak dodnes nie sú jednoznačné dôkazy o jej štatisticky významnom účinku. Cieľom je často odstránenie slizničnej výstelky dutiny maternice a zabránenie nadmernému menštruačnému krvácaniu.
- Agonisti GnRH: Môžu sa použiť na dočasné zmenšenie myómov pred operáciou, ale ich dlhodobé užívanie nie je vhodné kvôli nežiaducim účinkom.
Chirurgická liečba:
- Hysterektómia: Napriek pokroku v medicíne je hysterektómia (odstránenie maternice) stále najčastejšie využívanou a definitívnou liečbou symptomatických leiomyómov. Môže sa vykonávať abdominálnym (cez brušnú dutinu) alebo transvaginálnym (cez pošvu) prístupom. Je však spojená s rizikami súvisiacimi s operačným výkonom a anestéziou a znamená stratu plodnosti.
- Myomektómia: Chirurgické odstránenie samotných myómov pri zachovaní maternice. Tento postup je vhodný pre ženy, ktoré si želajú zachovať plodnosť. Môže sa vykonávať rôznymi technikami:
- Hysterorezektoskopia: Používa sa na odstránenie submukóznych myómov priamo z dutiny maternice.
- Laparoskopia: Minimálne invazívny chirurgický zákrok na odstránenie subseróznych alebo intramurálnych myómov.
- Laparotomia: Otvorená operácia brušnej dutiny, používa sa pri rozsiahlejších alebo viacerých myómoch.
Iné metódy:
- Embolizácia maternicových tepien (UAE): Zákrok z oblasti intervenčnej rádiológie, pri ktorom sa pomocou tenkého katétra zablokuje cievne zásobenie myómu, čo spôsobí jeho odumretie a zmenšenie. Vykonáva sa v lokálnej anestéze cez stehennú tepnu. Nie je vhodná pre všetky ženy, napríklad s prítomnosťou nádorov vaječníkov či vajíčkovodov.
- Fokuzované ultrazvukové ablačné techniky (HIFU): Neinvazívna metóda využívajúca vysoko intenzívne fokusované ultrazvukové vlny na zničenie tkaniva myómu.
- Tepelná balónová ablácia: Metóda, pri ktorej sa do dutiny maternice zavedie balón, ktorý sa nahreje a zničí endometriálnu výstelku, čím sa redukuje menštruačné krvácanie.

Záver
Leiomyómy maternice sú bežným a komplexným gynekologickým problémom, ktorý môže ovplyvniť kvalitu života mnohých žien. Pochopenie ich vzniku, klasifikácie, symptómov a dostupných diagnostických a liečebných možností je kľúčové pre správny manažment tohto ochorenia. Vďaka pokrokom v zobrazovacích technikách a liečebných postupoch je dnes možné poskytnúť ženám s leiomyómami efektívnejšiu a často aj menej invazívnu starostlivosť.
tags: #endometrium #myometrium #obrazok
