Horúčka a ťažké dýchanie u detí môžu byť pre rodičov veľmi znepokojujúce. Hoci horúčka je často prirodzenou reakciou organizmu na infekciu, v kombinácii s ťažkosťami s dýchaním môže signalizovať vážnejší problém. Tento článok poskytuje komplexný prehľad o príčinách, príznakoch a postupoch prvej pomoci pri ťažkom dýchaní a horúčkach u detí, aby rodičia mohli správne reagovať a zabezpečiť svojim deťom potrebnú starostlivosť.
Úvod do problematiky horúčky a dýchavičnosti
Horúčka u detí je bežný jav, ktorý väčšinou signalizuje infekciu alebo zápal. Normálna telesná teplota sa pohybuje medzi 36 - 37°C, pričom jej výška závisí od viacerých faktorov, ako je čas dňa a miesto merania. U detí sa za horúčku považuje teplota nad 38°C. Dýchavičnosť, odborne dyspnoe, je pocit nedostatku vzduchu a sťažené dýchanie. Ak sa tieto dva príznaky vyskytnú súčasne, je dôležité zistiť príčinu a poskytnúť dieťaťu adekvátnu pomoc.
Dýchavičnosť, inak aj dyspnoe, môžeme definovať ako subjektívny pocit spojený s nepohodlím pri dýchaní, ktorý sa môže prejaviť u jednotlivcov s rôznou intenzitou. Tento stav je výsledkom kombinácie účinkov viacerých fyziologických, psychologických, sociálnych a enviromentálnych faktorov a sám o sebe môže viesť k ďalším komplikáciám. Z tohto dôvodu hovoríme o dýchavičnosti ako o multifaktoriálnom (vyvolanom viacerými faktormi) probléme. Hlavným príznakom dýchavičnosti je pocit nedostatku vzduchu, resp. nedostatku kyslíka. Akútna dýchavičnosť sa dá charakterizovať ako náhle vzniknutý pocit ťažkosti, resp. neschopnosti dýchať. Môže sa objaviť v priebehu niekoľkých minút alebo hodín a zvyčajne si vyžaduje okamžitú lekársku pomoc. Chronická dýchavičnosť je definovaná ako stav, kedy má osoba dlhodobý pocit dychovej tiesne, a to niekoľko týždňov až mesiacov. Stav môže byť stály, prípadne sa môže postupom času zhoršovať. Zvyčajne je prejavom ochorenia.
Rýchle dýchanie, tiež známe ako tachypnoe, môže byť nie len prirodzenou reakciou na fyzickú námahu alebo stres, ale aj varovným signálom vážneho ochorenia. Keď telo potrebuje čo najviac kyslíka, môže sa dýchanie zrýchliť, aby kompenzovalo nedostatok kyslíka alebo nadbytok oxidu uhličitého. Zrýchlené dýchanie je stav, pri ktorom sa dýchacia frekvencia zvyšuje nad normálne hodnoty, čo môže byť spôsobené rôznymi faktormi. Telo sa snaží kompenzovať nedostatočné okysličenie krvi alebo odstrániť nadbytok oxidu uhličitého. Dýchanie je pre život nevyhnutný, väčšinou automatický proces, nad ktorým bežne nepremýšľame. Normálna dychová frekvencia dospelého človeka v pokoji sa pohybuje medzi 12 až 20 nádychmi a výdychmi za minútu. Ak je však dýchanie dlhodobo alebo bez zjavnej príčiny rýchlejšie, hovoríme o tachypnoe. Ide o stav, kedy dospelý človek v pokoji vykoná viac ako 20 dychov za minútu, pričom dýchanie býva často aj plytšie.

Príčiny horúčky u detí
Najčastejšou príčinou horúčky u detí je infekcia, či už vírusová alebo bakteriálna. Medzi ďalšie príčiny patria:
- Infekcie dýchacích ciest: Vírusové aj bakteriálne infekcie horných a dolných dýchacích ciest sú častou príčinou horúčky. Patria sem bežné prechladnutia, chrípka, ale aj závažnejšie ochorenia ako zápal pľúc či zápal priedušiek.
- Infekcie močových ciest: Infekcie obličiek alebo močového mechúra môžu u detí spôsobovať horúčku, niekedy bez iných zjavných príznakov.
- Infekcie ucha: Zápal stredného ucha je častou príčinou horúčky u dojčiat a batoliat.
- Gastroenteritída: Črevné infekcie spôsobené vírusmi alebo baktériami môžu viesť k horúčke, zvracaniu a hnačke.
- Očkovanie: Po niektorých očkovaniach sa môže objaviť mierna horúčka ako normálna reakcia imunitného systému.
- Zápalové ochorenia: Niektoré chronické zápalové ochorenia, ako napríklad juvenilná idiopatická artritída, sa môžu prejavovať aj horúčkou.
- Reakcia na lieky: Zriedkavo môže horúčka vzniknúť ako nežiaduca reakcia na niektoré lieky.
- Prehriatie: Nadmerné obliekanie alebo pobyt v horúcom prostredí môže u detí viesť k zvýšeniu telesnej teploty.

Príčiny ťažkého dýchania u detí
Ťažké dýchanie u detí môže mať rôzne príčiny, vrátane:
- Infekcie dýchacích ciest: Bronchitída, zápal pľúc (pneumónia), laryngitída alebo závažnejšie infekcie dolných dýchacích ciest môžu spôsobiť opuch a zúženie dýchacích ciest, čo vedie k dýchavičnosti.
- Astma: Chronické zápalové ochorenie dýchacích ciest, ktoré spôsobuje ich zúženie, kašeľ, pískanie na hrudníku a dýchavičnosť, často vyvolané alergénmi, fyzickou námahou alebo chladným vzduchom.
- Alergické reakcie: Silné alergické reakcie (anafylaxia) môžu spôsobiť opuch hrdla a jazyka, čo vedie k náhlej a život ohrozujúcej dýchavičnosti.
- Obštrukčná spánková apnoe: Závažné prípady môžu viesť k občasným zástavám dýchania počas spánku, čo sa môže prejaviť ako dýchavičnosť alebo nepokojný spánok.
- Srdcové zlyhávanie: Aj keď menej časté u detí, vrodené alebo získané srdcové chyby môžu viesť k nahromadeniu tekutiny v pľúcach a následnej dýchavičnosti.
- Cudzie teleso v dýchacích cestách: Vdýchnutie malého predmetu môže spôsobiť náhlu dýchavičnosť, kašeľ a dusenie.
- Vrodené chyby dýchacieho systému: Niektoré deti sa narodia s anomáliami dýchacích ciest alebo pľúc, ktoré môžu viesť k chronickým dýchacím problémom.
- Pneumotorax: Nahromadenie vzduchu v priestore medzi pľúcami a hrudnou stenou, ktoré spôsobí kolaps pľúcneho krídla a náhlu dýchavičnosť.
- Cystická fibróza: Genetické ochorenie, ktoré postihuje najmä pľúca a tráviaci systém, vedie k tvorbe hustého hlienu a chronickým respiračným problémom.
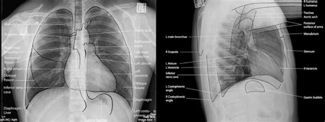
Anatomické členenie dýchacieho systému
Aby sme lepšie pochopili príčiny respiračných problémov, je dôležité poznať základnú anatómiu dýchacieho systému.
Horné dýchacie cesty
Horné dýchacie cesty sú úsek dýchacieho systému, ktorý zahŕňa nos, nosohltan, hltan, prínosové dutiny a hrtan. Tieto časti dýchacieho systému sú prvou líniou obrany proti infekciám, ktoré sa dostávajú do tela inhaláciou. Dospelý človek sa nadýchne približne 12 až 20-krát za minútu v stave pokoja. Hlavnou funkciou horných dýchacích ciest je filtrácia, ohrievanie a zvlhčovanie vzduchu, ktorý vdychujeme. Hrtan (larynx) nájdeme ho medzi hltanom a priedušnicou a obsahuje hlasivky, ktoré sú dôležité pre tvorbu hlasu. Patrí sem sliznica s riasinkami, ktoré zachytávajú prach a mikroorganizmy, a lymfoidné tkanivo, ako sú mandle, ktoré pomáhajú imunitnému systému v boji proti infekciám.
Dolné dýchacie cesty
Dolné dýchacie cesty tvoria priedušnica, priedušky a pľúca. Tieto časti systému sú zodpovedné za výmenu kyslíka a oxidu uhličitého medzi krvou a vonkajším prostredím. Priedušnica (trachea) je to trubica, ktorá vedie vzduch z hrtana do priedušiek. Priedušky (bronchy) sú dve. Priedušnica sa delí na dve hlavné priedušky, ktoré vedú do pravého a ľavého pľúca. Pľúca (pulmones) sú párový orgán nachádzajúci sa v hrudnej dutine, ktorý je zložený z tisícov drobných vzduchových vačkov nazývaných alveoly. Dolné dýchacie cesty sú kľúčové pre dýchanie a okysličovanie krvi, pričom ich zdravie je zásadné pre správnu funkciu celého dýchacieho systému.

Príčiny infekcií dýchacích ciest
Infekcie dýchacích ciest môžu byť spôsobené rôznymi patogénmi, vrátane vírusov, baktérií a húb. Každý z týchto mikroorganizmov spôsobuje rôzne typy infekcií v horných aj dolných dýchacích cestách.
- Vírusy: Sú najčastejšou príčinou infekcií dýchacích ciest, najmä tých, ktoré postihujú horné dýchacie cesty. Medzi bežné vírusy patria rinovírusy, adenovírusy, vírus chrípky a respiračný syncyciálny vírus (RSV).
- Baktérie: Bakteriálne infekcie dýchacích ciest sú menej časté, ale môžu byť závažnejšie a často vyžadujú liečbu antibiotikami. Medzi bežné baktérie patria Streptococcus pneumoniae (pôvodca pneumokokových infekcií), Haemophilus influenzae a Mycoplasma pneumoniae.
- Huby: Hoci sú menej bežné, hubové infekcie môžu tiež postihovať dýchacie cesty, najmä u ľudí s oslabeným imunitným systémom. Najčastejšie ide o kvasinky rodu Candida alebo plesne rodu Aspergillus.
Najčastejšie infekcie dýchacích ciest
Infekcie dýchacích ciest sa môžu vyskytovať v rôznych častiach dýchacieho systému a môžu byť spôsobené rôznymi patogénmi. Medzi najčastejšie patria:
- Prechladnutie: Bežná vírusová infekcia horných dýchacích ciest, ktorá sa prejavuje nádchou, bolesťou hrdla, kašľom a miernou horúčkou.
- Chrípka: Závažnejšia vírusová infekcia, ktorá spôsobuje vysokú horúčku, bolesti svalov, únavu, kašeľ a niekedy aj dýchavičnosť.
- Zápal hltana (faryngitída): Môže byť vírusového alebo bakteriálneho pôvodu, prejavuje sa bolesťou hrdla, začervenaním a opuchom.
- Zápal prinosových dutín (sinusitída): Infekcia dutín v lebke, ktorá spôsobuje bolesť tváre, upchatý nos a horúčku.
- Zápal hrtana (laryngitída): Infekcia hrtana, ktorá vedie k chrapotu, strate hlasu a niekedy aj k dýchavičnosti, najmä u detí.
- Zápal priedušiek (bronchitída): Zápal sliznice priedušiek, ktorý spôsobuje kašeľ s vykašliavaním hlienu, bolesť na hrudníku a niekedy aj horúčku.
- Zápal pľúc (pneumónia): Závažný zápal pľúcneho tkaniva, ktorý môže byť spôsobený vírusmi, baktériami alebo hubami. Príznaky zahŕňajú horúčku, kašeľ, dýchavičnosť, bolesť na hrudníku a celkovú slabosť.

Príznaky a symptómy horúčky a ťažkého dýchania
Kombinácia horúčky a ťažkého dýchania u detí je vždy dôvodom na zvýšenú pozornosť. Je dôležité sledovať nielen výšku teploty, ale aj charakter dýchania a celkový stav dieťaťa.
Príznaky horúčky
- Zvýšená telesná teplota: Nad 38°C u detí.
- Pocit tepla: Dieťa pôsobí horúco na dotyk.
- Potenie: Nadmerné potenie, najmä počas noci.
- Triaška: Pocit chladu a triaška, aj keď je dieťa horúce.
- Bolesť hlavy a svalov: Pocit celkovej únavy a bolesti.
- Znížená chuť do jedla: Dieťa odmieta potravu.
- Podráždenosť alebo apatia: Dieťa je nepokojné, plačlivé alebo naopak apatické a málo reaguje.
Príznaky ťažkého dýchania
- Rýchle alebo zrýchlené dýchanie (tachypnoe): Dýchanie je častejšie ako obvykle, často aj plytšie.
- Dýchavičnosť (dyspnoe): Pocit nedostatku vzduchu, sťažené nadychovanie alebo vydychovanie.
- Sipot: Pískavý zvuk pri dýchaní, najmä pri výdychu, signalizujúci zúženie dýchacích ciest.
- Kašeľ: Suchý alebo vlhký kašeľ, ktorý môže byť sprevádzaný vykašliavaním hlienu.
- Modré sfarbenie pier, jazyka alebo kože (cyanóza): Závažný príznak nedostatočného okysličenia krvi, vyžadujúci okamžitú lekársku pomoc.
- Zatiahovanie medzirebrových priestorov alebo jamiek nad kľúčnymi kosťami pri dýchaní: Známka zvýšenej námahy pri dýchaní, najmä u dojčiat a batoliat.
- Nepokoj alebo letargia: Dieťa môže byť nepokojné, snaží sa nájsť úľavovú polohu, alebo naopak pôsobí unavene a apaticky.
- Pocit tlaku na hrudníku: Staršie deti môžu opísať pocit stláčania alebo tlaku na hrudníku.
Skvelé Motivačné Video CZ | Čo chceš v živote robiť?
Horúčka a ťažké dýchanie - kombinácia príznakov
Ak má dieťa súčasne horúčku a ťažké dýchanie, je dôležité zistiť príčinu týchto príznakov. Najčastejšie ide o infekciu dýchacích ciest, ako je pneumónia alebo bronchitída.
Zápal pľúc (pneumónia)
Zápal pľúc je závažné ochorenie, ktoré poškodzuje pľúcne tkanivo. Rozoznávame viacero typov tohto ochorenia - infekčné a neinfekčné a mnoho spôsobov, ako sa zápal pľúc prejavuje. Zápaly pľúc radíme k najčastejším zápalovým ochoreniam. Infekčný zápal pľúc sa vyskytuje častejšie. Vyvolávajú ho rôzne patogény po usídlení sa v pľúcnom parenchýme. Priebeh a závažnosť pneumónie závisia od pôvodu zápalu, ale aj od celkového zdravotného stavu a imunitného systému človeka. Pneumóniu najčastejšie vyvoláva kvapôčková infekcia, ktorá sa šíri prednostne z horných dýchacích ciest. Zápalom pľúc sú veľmi ohrozené malé deti - predovšetkým bábätká do prvého roku života a starší ľudia nad 60 rokov.
Príznaky zápalu pľúc u detí môžu zahŕňať:
- Vysokú horúčku, ktorá nemusí vždy reagovať na lieky.
- Rýchle, povrchné dýchanie.
- Dýchavičnosť, pocit nedostatku vzduchu.
- Kašeľ, ktorý môže byť suchý alebo s vykašliavaním hnisavého hlienu.
- Bolesť na hrudníku, najmä pri nádychu.
- Zatiahnutie medzirebrových priestorov pri dýchaní.
- Modrasté sfarbenie pier alebo kože.
- Únavu, letargiu, nechutenstvo.
- U dojčiat aj nešpecifické príznaky ako podráždenosť, slabé sanie, bledosť.

Zápal priedušiek (bronchitída)
Zápal priedušiek je menej závažný ako zápal pľúc, ale môže tiež spôsobiť nepríjemné príznaky. Často predchádza zápalu pľúc alebo sa vyskytuje spolu s ním.
Príznaky zápalu priedušiek u detí:
- Suchý, dráždivý kašeľ, ktorý sa neskôr môže zmeniť na vlhký s vykašliavaním hlienu.
- Mierna horúčka alebo subfebrilita (zvýšená teplota pod 38°C).
- Pocit pálenia alebo bolesti za hrudnou kosťou.
- Mierne ťažkosti s dýchaním, najmä pri fyzickej námahe.
- Únavu a nechutenstvo.
Diagnostika dýchavičnosti a horúčky
Diagnostika dýchavičnosti a horúčky u detí je kľúčová pre správnu liečbu. Lekár vychádza z anamnézy, fyzikálneho vyšetrenia a ďalších špecializovaných vyšetrení.
Anamnéza a fyzikálne vyšetrenie
Lekár sa podrobne pýta na charakter príznakov, ich trvanie, vývoj, ako aj na predchádzajúce ochorenia, alergie či rodinnú anamnézu. Počas fyzikálneho vyšetrenia lekár počúva dýchanie dieťaťa pomocou stetoskopu, skontroluje farbu kože, pulz, krvný tlak a telesnú teplotu.
Ďalšie diagnostické metódy
- RTG (röntgenové) vyšetrenie hrudníka: Základná metóda na zobrazenie pľúc a odhalenie zápalu pľúc, pleurálneho výpotku alebo iných abnormalít.
- Pulzná oxymetria: Bezbolestné meranie saturácie krvi kyslíkom (SpO2) pomocou malého prístroja na prste. Nízka saturácia signalizuje nedostatočné okysličenie.
- Spirometria a PFT (pulmonary function test): Vyšetrenia funkčnej kapacity pľúc, ktoré sa používajú najmä u starších detí a dospelých na diagnostiku astmy alebo CHOCHP.
- Záťažový test: Meranie výmeny pľúcnych plynov, fyzickej zdatnosti a funkcie srdca pri záťaži (napr. na bežiacom páse).
- Krvné testy: Môžu pomôcť identifikovať typ infekcie (vírusová vs. bakteriálna) a posúdiť zápalový proces v tele.
- Kultivácia hlienu alebo krvi: V prípade podozrenia na bakteriálnu infekciu sa vykonáva na identifikáciu konkrétneho patogénu a jeho citlivosti na antibiotiká.
- Bronchoskopia: Endoskopické vyšetrenie priedušiek, ktoré sa používa zriedkavo, napríklad pri podozrení na cudzie teleso alebo pri nejasných nálezoch na RTG.
Liečba horúčky a dýchavičnosti
Liečba horúčky a dýchavičnosti závisí od základnej príčiny a závažnosti stavu. Cieľom je zmierniť príznaky, odstrániť príčinu ochorenia a predchádzať komplikáciám.
Liečba horúčky
- Antipyretiká: Lieky na zníženie horúčky, ako je paracetamol alebo ibuprofen. Dávkovanie je potrebné prispôsobiť veku a hmotnosti dieťaťa.
- Paracetamol: Dávka 10 - 15 mg/kg každých 4 - 6 hodín.
- Ibuprofen: Dávka 5 - 10 mg/kg každých 6 - 8 hodín.
- Dostatočný príjem tekutín: Hydratácia je kľúčová, aby sa predišlo dehydratácii, najmä pri vysokej horúčke. Ponúkajte vodu, čaj, riedené ovocné šťavy.
- Odpočinok: Dieťa by malo mať dostatok pokoja.
- Ľahké oblečenie: Dieťa by nemalo byť nadmerne prikryté, aby sa telo mohlo ochladzovať.
- Vlažné zábaly: V prípade vysokej horúčky, ktorá nereaguje na lieky, môžu pomôcť vlažné zábaly na čelo alebo končatiny.
Liečba dýchavičnosti
- Zabezpečenie dostatočného okysličenia: V prípade zníženej saturácie hemoglobínu kyslíkom sa za pomoci masky aplikuje oxygenoterapia.
- Uvoľnenie dýchacích ciest: Ak je to nutné, uvoľnia sa dýchacie cesty, a to mechanicky alebo liekmi (farmakologicky).
- Antibiotiká: Pri bakteriálnych infekciách, ako je zápal pľúc, sú nevyhnutné antibiotiká. Bez správne zvolených antibiotík to nepôjde. Liečba závisí od typu baktérie a jej citlivosti.
- Ľahší priebeh zápalu pľúc sa dá zvládnuť ambulantnou liečbou, ktorá zvyčajne trvá 2 až 3 týždne a následné doliečovanie ďalšie dva mesiace.
- V prípade, že ide o ťažšiu formu pneumónie, je nutná hospitalizácia a prísny dohľad lekára. V nemocnici sa pacientovi vnútrožilovo podávajú antibiotiká, aminopenicilín, prípadne penicilín G.
- Liečba ťažkého zápalu pľúc trvá aj dva mesiace.
- Kortikosteroidy: U neinfekčnej formy pneumónie alebo pri ťažkých zápalových stavoch sa nasadzujú kortikoidy. Používajú sa aj pri astme na zníženie zápalu v dýchacích cestách.
- Bronchodilatanciá: Lieky rozširujúce priedušky, ktoré pomáhajú pri dýchavičnosti spôsobenej astmou alebo inými obštrukčnými ochoreniami.
- Antihistaminiká: Pri alergických reakciách.
- Režimové opatrenia: Dôležité je tiež brať na vedomie režimové opatrenia, ktoré by ste mali dodržiavať, ak sa chcete vyhnúť ďalším komplikáciám.

Kedy vyhľadať lekársku pomoc
Je dôležité vedieť, kedy je potrebné okamžite vyhľadať lekársku pomoc.
Kedy vyhľadať lekára pri horúčke u detí
- Novorodenec s horúčkou (nad 38°C rektálne)
- Dieťa do 3 mesiacov s teplotou nad 37,5°C
- Dieťa s horúčkou nad 40°C, ktorá nereaguje na lieky
- Dieťa s horúčkou a stuhnutou šijou, ktorá bráni predklonu alebo záklonu hlavy
- Dieťa s horúčkou a ťažkosťami s dýchaním
- Dieťa s horúčkou a príznakmi dehydratácie (suché pery, znížené močenie)
- Dieťa s febrilnými kŕčmi
- Dieťa s podkožnými krvnými výronmi
- Dieťa s chronickým ochorením a horúčkou
- Ak sa stav dieťaťa zhoršuje alebo ak máte akékoľvek obavy
Kedy vyhľadať lekára pri ťažkom dýchaní u detí
- Ak sa ťažkosti s dýchaním objavia náhle a sú závažné.
- Ak má dieťa modré sfarbenie pier alebo kože (cyanóza).
- Ak dieťa stráca vedomie alebo je apatické.
- Ak sa ťažkosti s dýchaním zhoršujú napriek podaniu liekov alebo prvej pomoci.
- Ak dieťa nedokáže plakať ani rozprávať kvôli dýchavičnosti.
- Ak počujete výrazný sipot alebo chrapot pri dýchaní.
- Ak dieťa vykazuje známky výraznej námahy pri dýchaní (zatiahnutie medzirebrových priestorov).
- Ak máte akékoľvek obavy o dýchanie dieťaťa.
Prevencia infekcií dýchacích ciest a dýchavičnosti
Prevencia je kľúčom k zníženiu výskytu infekcií dýchacích ciest a predchádzaniu komplikáciám. Dôsledným dodržiavaním týchto opatrení môžeme významne znížiť riziko vzniku a šírenia infekcií dýchacích ciest, a tým chrániť seba aj svoje okolie.
- Hygiena rúk: Časté a dôkladné umývanie rúk mydlom a vodou alebo použitie dezinfekčného gélu je jedným z najúčinnejších spôsobov prevencie.
- Vyhýbanie sa kontaktu s chorými osobami: Snažte sa obmedziť kontakt s ľuďmi, ktorí majú príznaky respiračnej infekcie.
- Zahŕňanie nosa a úst pri kašľaní a kýchaní: Používajte vreckovku alebo lakťovú jamku, aby ste zabránili šíreniu kvapôčok.
- Pravidelné vetranie miestností: Zabezpečte dostatočný prísun čerstvého vzduchu v domácnostiach a na pracoviskách.
- Zdravý životný štýl: Vyvážená strava, dostatok spánku, pravidelný pohyb a vyhýbanie sa fajčeniu posilňujú imunitný systém.
- Očkovanie: Udržiavanie platného očkovacieho kalendára chráni pred mnohými závažnými infekčnými ochoreniami, ktoré môžu viesť k respiračným komplikáciám.
- Včasná liečba chronických ochorení: U osôb s chronickými ochoreniami (napr. astma, CHOCHP, srdcové choroby) je dôležitá pravidelná kontrola u lekára a dodržiavanie liečby, aby sa predišlo exacerbáciám.
- Minimalizácia stresu: Stres môže oslabiť imunitný systém a zhoršiť dýchacie problémy. Praktizujte relaxačné techniky, ako je hlboké dýchanie alebo meditácia.
- Udržiavanie primeranej telesnej hmotnosti: Obezita je rizikovým faktorom pre mnohé zdravotné problémy, vrátane dýchavičnosti.
- Vlhkosť vzduchu: Udržiavanie primeranej vlhkosti vzduchu v domácnosti môže pomôcť predchádzať podráždeniu dýchacích ciest.
Dýchavičnosť je subjektívny pocit dýchavičnosti, ťažkostí s dýchaním alebo zvýšeného úsilia pri dýchaní. Je dôležité poznamenať, že nejde o diagnózu, ale o príznak s desiatkami možných príčin. Dýchavičnosť je bežná po epizóde vysokej horúčky a rozsah vysvetlení siaha od dočasnej úľavy až po komplikácie vyžadujúce liečbu. Počas infekcie telo spotrebúva viac kyslíka a dýchací systém pracuje intenzívnejšie. Aj po návrate teploty do normálu niektorí ľudia pociťujú dýchavičnosť v dôsledku zvyškového zápalu v dýchacích cestách, slabosť dýchacích svalov a celkovú stratu kondície. Toto je typické pre vírusové infekcie vrátane koronavírusového ochorenia 2019 (COVID-19) a chrípky. Dýchavičnosť môže byť dôsledkom poškodenia pľúc spôsobeného samotnou infekciou. Ak zápal postihuje priedušky, človek pociťuje ťažkosti s vydychovaním, sipot a kašeľ. Ak sa zápal vyskytuje v alveolách (pneumónia), dýchavičnosť sa zvyčajne zhoršuje pri námahe a je sprevádzaná rýchlou únavou. Ďalším mechanizmom je zvýšená citlivosť dýchacieho centra a nervového systému po ochorení. V tomto prípade môže byť dýchanie objektívne normálne, ale pocit dýchavičnosti pretrváva. Ide o skupinu postakútnych infekčných syndrómov, ktoré sa môžu vyskytnúť po rôznych vírusoch, nielen po COVID-19. Horúčka nakoniec niekedy slúži ako spúšťač na zistenie základného kardiovaskulárneho alebo bronchopulmonálneho ochorenia. Osoba mohla mať miernu astmu, chronickú obštrukčnú chorobu pľúc alebo srdcové zlyhanie a infekcia len zhoršila príznaky.
Ak sa dýchavičnosť zhorší po horúčke alebo sa po zlepšení opäť objaví, treba najprv vylúčiť zápal pľúc alebo jeho neskoré komplikácie. Bakteriálna superinfekcia môže začať 3 - 10 dní po vírusovom ochorení: teplota už ustúpila, potom opäť stúpne, kašeľ sa prehĺbi a objaví sa silná slabosť a dýchavičnosť. Po prekonaní zápalu pľúc sa u niektorých pacientov vyskytujú reziduálne zmeny v pľúcach. Ich teplota je normálna, ale dýchavičnosť pri námahe pretrváva 4 - 12 týždňov. Stav sa zvyčajne zlepšuje, ale v závažných prípadoch sa niekedy vyvinú pretrvávajúce respiračné obmedzenia. Druhou závažnou skupinou je pľúcna embólia. Môže sa vyvinúť po infekciách v dôsledku dočasného zvýšenia zrážanlivosti krvi, najmä pri dehydratácii a nehybnosti. Medzi príznaky patrí náhla dýchavičnosť, bolesť na hrudníku pri nádychu, rýchly pulz a niekedy hemoptýza alebo opuch nôh. Treťou skupinou komplikácií sú srdcové. Vírusy niekedy spôsobujú myokarditídu alebo spúšťajú srdcové zlyhanie u ľudí s nediagnostikovanými ochoreniami. Dýchavičnosť môže byť v tomto prípade sprevádzaná palpitáciami, opuchom nôh, pocitom tiaže na hrudníku a zhoršením príznakov pri ľahnutí. Nakoniec, pneumotorax alebo pleurálny výpotok sa môžu vyskytnúť po závažnej respiračnej infekcii, hoci je to menej časté. Dýchavičnosť je pri týchto stavoch zvyčajne silná, sprevádzaná bolesťou v boku, zhoršuje sa dýchaním a vyžaduje si neodkladnú starostlivosť.
Prvým varovným signálom je náhle zvýšenie dýchavičnosti alebo jej výskyt v pokoji, najmä ak osoba predtým normálne dýchala. Môže to naznačovať pľúcnu embóliu, pneumotorax alebo akútne zhoršenie zápalu pľúc. Druhým príznakom je pokles saturácie krvi kyslíkom (SpO2) meranej pulznou oxymetriou pod 94 % v pokoji alebo pokles o viac ako 3 % pri ľahkej námahe. Tieto hodnoty si vyžadujú lekárske vyšetrenie, pretože môžu naznačovať zhoršenú výmenu plynov v pľúcach. Tretím príznakom je bolesť na hrudníku, najmä bodavá bolesť pri nádychu alebo pocit zvierania za hrudnou kosťou. V kombinácii s dýchavičnosťou je to dôvod na vylúčenie pľúcnej embólie, myokarditídy a ischemických príhod. Štvrtým príznakom je návrat horúčky po 2-3 dňoch zlepšenia, najmä ak sa kašeľ stane hnisavým alebo sa zvýši slabosť. Toto je typický scenár bakteriálnej superinfekcie. Piatym príznakom sú silné závraty, mdloby, zmätenosť, cyanóza pier a rýchlo sa zvyšujúci opuch nôh. Tieto príznaky môžu naznačovať zlyhanie dýchania alebo srdcovú dekompenzáciu.
Posúdenie začína anamnézou. Lekár určí priebeh infekcie, ako dlho trvala horúčka, či sa vyskytol zápal pľúc, či sú prítomné chronické ochorenia pľúc alebo srdca a ako sa v priebehu času menila dýchavičnosť. Rýchlosť nástupu príznakov je jedným z najinformatívnejších ukazovateľov. Ďalej sa merajú vitálne funkcie: frekvencia dýchania, pulz, krvný tlak, teplota a SpO2. Aj keď sa pacient „cíti normálne“, tieto parametre môžu odhaliť skrytú závažnosť stavu. Prvým inštrumentálnym vyšetrením pri pretrvávajúcej dýchavičnosti je röntgen hrudníka. Pomáha identifikovať zápal pľúc, pleurálny výpotok a príznaky preťaženia srdca. Ak sú údaje nepresvedčivé a príznaky sú závažné, použije sa CT vyšetrenie. Ak sú snímky pľúc normálne, vykoná sa funkčné vyšetrenie dýchania vrátane spirometrie a difúznych testov. To umožňuje odhaliť bronchiálnu obštrukciu alebo zníženú difúziu, čo je typické pre postinfekčné zmeny. Ak existuje podozrenie na srdcovú príčinu, vykoná sa elektrokardiogram a echokardiografia a niekedy sa merajú natriuretické peptidy. Ak existuje riziko pľúcnej embólie, vyšetrí sa D-dimér a v prípade potreby sa vykoná pľúcna angiografia.
Ak je príčinou post-vírusová bronchitída, primárnou stratégiou je čas a kontrola zápalu. Udržiavajte dostatočný príjem tekutín a vlhkosť a v prípade potreby používajte inhalačné bronchodilatanciá alebo protizápalové lieky podľa pokynov lekára. Zlepšenie sa zvyčajne prejavuje postupne počas 2 - 4 týždňov. Pri dočasnej bronchiálnej hyperreaktivite sa používa podobný prístup, ale dôraz sa kladie na inhalačné lieky, ktoré znižujú kŕče a zápal. Je dôležité kontrolovať spúšťače: studený vzduch, tabakový dym, prach a náhlu námahu počas prvých týždňov. Po zápale pľúc sa kľúčovou stáva respiračná a fyzická rehabilitácia. Zahŕňa postupnú aeróbnu aktivitu, cvičenia na rozťahovanie hrudníka a kontrolu respiračného rytmu. V prípadoch závažného poškodenia funkcie pľúc sú užitočné programy pľúcnej rehabilitácie pod dohľadom špecialistov. Ak sa diagnostikuje pľúcna embólia, liečba sa vykonáva antikoagulanciami. Trvanie a lieky sa vyberajú individuálne a obnova dýchania trvá týždne alebo mesiace. Snažiť sa „prečkať“ takúto dýchavičnosť svojpomocne je nebezpečné. Pri srdcových komplikáciách je terapia zameraná na obnovenie srdcovej funkcie a kontroly rytmu. Protizápalová liečba sa používa pri myokarditíde a štandardné režimy pri srdcovom zlyhaní. Dôležitá je progresia: zlepšenie dýchavičnosti zvyčajne sprevádza zníženie srdcového zaťaženia. Ak má dýchavičnosť dysfunkčnú alebo úzkostnú zložku, riešia sa dýchacie vzorce. Pomôcť môžu bránicové dychové cvičenia, predĺžené výdychy, normalizácia spánku a v prípade potreby psychoterapia. To znižuje pocit „neúplného nádychu“, a to aj pri bežných vyšetreniach.
Ak je dýchavičnosť mierna a neexistujú žiadne varovné signály, je užitočné sledovať pokrok pomocou jednoduchých kritérií. Napríklad si všimnite, ako sa mení vaša tolerancia bežných aktivít: chôdza, lezenie o jedno alebo dve poschodia alebo vykonávanie domácich prác. Akýkoľvek pretrvávajúci zhoršujúci sa trend je dôvodom na vyhľadanie lekárskej pomoci. Domáca pulzná oxymetria môže byť užitočná, ak je k dispozícii príslušné zariadenie. Opakované merania v pokoji a po krátkom čase cvičenia poskytujú prehľad o prítomnosti latentnej hypoxie. Je dôležité merať na teplých, nenalakovaných prstoch a po 2 - 3 minútach odpočinku. Postupne zvyšujte cvičenie. V prvých 1-2 týždňoch po horúčke je lepšie voliť časté krátke prechádzky pred zriedkavými dlhými tréningami. Telo si neobnoví okamžite svoje respiračné a kardiovaskulárne rezervy a „návaly“ môžu zhoršiť dýchavičnosť. Ak máte kašeľ a pocit hlienov, pomáha udržiavanie vlhkosti vzduchu a dostatočný príjem tekutín. Suchý vzduch zvyšuje podráždenie priedušiek a subjektívnu dýchavičnosť. Ak máte sklony k úzkosti a plytkému dýchaniu, je užitočné vykonávať pokojné dýchacie cykly niekoľkokrát denne: pomaly sa nadýchnite nosom po dobu 3-4 sekúnd a potom dlhšie vydychujte po dobu 5-6 sekúnd. Tieto cvičenia znižujú frekvenciu dýchania a zlepšujú váš pocit kontroly.
Upozornenie: Tento článok má informatívny charakter a nenahrádza lekárske vyšetrenie alebo konzultáciu ohľadom vášho zdravotného stavu s lekárom alebo iným kvalifikovaným zdravotníckym pracovníkom.
tags: #rychle #dychanie #dieta #horucka
